到了夏天,天氣越來越熱,甚至有人開玩笑道:出門=燒烤,游泳=水煮。面對“火力全開”的太陽公公,夏季防曬自然也必不可少。
很多注重防曬的人呢,已經開始全副武裝:防曬霜、太陽傘、防曬衣、遮陽帽......妝可以不化,皮膚可千萬不能曬黑!

皮膚防曬確實很重要,但你是否了解,眼睛也需要做好防曬呢?眼睛防曬可不僅是為了讓眼部皮膚不曬黑,更主要的是為了“防御”紫外線對眼睛的傷害。因此,不論男士還是女士,眼睛防曬都很有必要噢!
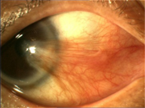
紫外線傷害眼睛“罪證”一:翼狀胬肉
翼狀胬肉是由結膜向角膜中央長出,呈現三角形的不健康組織。胬肉可使得眼球表面淚膜分布不均勻,而引起間歇性的視力模糊,當胬肉過大嚴重遮住瞳孔時,還會嚴重影響視力。

其中,眼睛受到紫外線的長期侵損是導致翼狀胬肉形成的主要原因,所以農民、漁民等戶外工作者是翼狀胬肉的高發群體。
如果長了胬肉且嚴重影響了視力,就需要通過手術切除。由于單純切除胬肉之后,復發的可能性比較大,一般還需要聯合絲裂霉素C治療或者自體結膜移植手術,以此降低復發可能性。
紫外線傷害眼睛“罪證”二:白內障
白內障主要與年齡老化有關,但如果眼睛長期暴露于紫外線下,眼內晶狀體細胞容易遭到紫外線破壞,而導致晶狀體發生變性。晶狀體變性后會變得渾濁,從而遮擋視軸影響視力,嚴重還可致盲,這便是我們說的白內障。

雖然隨著年齡老化,每個人都可能患上白內障,但如果眼睛經常不注意防紫外線,尤其是戶外工作者,很容易導致白內障提前到來,想必大家也不想白內障提前到來吧。
得了白內障,靠藥物是無法治好的,需要通過白內障手術,將混濁的晶狀體取出后,再植入人工晶體。北京希瑪林順潮眼科醫院的白內障手術采用方式,利用超聲波將白內障震溶吸出并及時植入合適度數的人工晶體,術后無需縫線,還有機會矯正近視、散光、老花。
紫外線傷害眼睛“罪證”三:黃斑變性
黃斑是位于視網膜中心位置的視力敏銳區域,如果黃斑發生了病變可造成視力急速減退,出現視物變形、視野中心變暗等癥狀,嚴重還可導致失明。黃斑變性就屬于黃斑病變的一種,主要與年齡和老化有關,而長期接觸猛烈陽光也是危險因素之一。

紫外線穿過眼內的屈光系統后,會到達眼球正中心的黃斑,可破壞區域內的感光細胞,長此以往可能導致黃斑變性。若是濕性的黃斑變性,需要及時進行激光治療或者類固醇玻璃體注射、抗血管內皮生長因子玻璃體注射治療,否則可能導致永久失明。
除了以上這些疾病外,過多的紫外線照射還可能導致干眼癥、角膜損傷、慢性結膜炎等眼表疾病。所以說,做好眼睛防曬十分有必要。
希瑪眼科建議:戶外活動時,應佩戴“合格”的太陽眼鏡
了解到眼睛防曬的重要性之后,要如何才能做好眼睛防曬呢?北京希瑪眼科醫院建議大家:在陽光強烈時段盡量避免外出,外出時也應戴好太陽眼鏡、太陽帽,或者使用太陽傘遮擋紫外線。有些人把太陽眼鏡當成裝飾品,外觀好看就行了。其實在選太陽眼鏡時,能不能防紫外線才是我們首先需要考慮的。

由于紫外線的波長在100-400納米之間,波長越短破壞性越強,所以我們在選擇太陽眼鏡時,應選擇能過濾99%或以上波長在310納米或以下紫外線的產品。
在鏡片顏色選擇方面,并非顏色越深越好,灰色是很好的選擇,棕色和綠色也可,藍色、紫色則不建議。至于眼鏡設計方面,選擇能夠覆蓋雙眼的產品即可。在鏡片的質素方面,需選擇打磨均勻的鏡片,什么樣的鏡片才算打磨均勻呢?教大家一個方法:將眼鏡向上、下、左、右移動,透過鏡片看的始終成一直線,說明鏡片打磨得比較均勻。
需要注意的是,即使在陰天,紫外線也是存在的。所以建議大家,無論在什么天氣外出,都需要做好眼睛的防紫外線工作。

眼科全科
眼科全科,主攻眼底病的診斷治療
擅長疑難青光眼的診治
眼底病、黃斑疾病、玻璃體視網膜手術
眼底病的診治,尤其專長于糖尿病視網膜病變、黃斑疾病和視網膜移植
兒童視覺發育性眼病診治
屈光矯視、白內障、眼整形、老視個性化手術設計及矯正、眼底手術治療
眼科全科、眼底病、白內障、青光眼
屈光性白內障、青光眼、晶體植入
青光眼、白內障及眼底病
白內障、淚道、眼整形、青光眼的診斷及治療
弱視、斜視、屈光不正、近視、復視、眼球震顫的診斷和治療
屈光不正、白內障、眼底常見病