雖然已經立秋了,但秋老虎持續發威,烈日絲毫沒有要退場的意思。火辣的陽光不僅會把人曬黑,還能把人曬傷,所以防曬工作千萬不能松懈。當然了,除了要做好皮膚防曬,還有一個重要部位千萬別忘記,那便是我們的眼睛。

為什么眼睛需要防曬呢?這是因為,眼睛若長期遭受紫外線的照射又未做好防護,很容易長出“小翅膀”,也就是翼狀胬肉。而翼狀胬肉不僅影響眼睛外觀,還可能損傷角膜,造成視力受損。
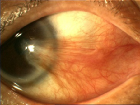
眼睛長了“小翅膀”,視力也可能“飛走”
翼狀胬肉屬于贅生組織,是一種常見的結膜變性眼疾,它主要起源于眼睛的球結膜,發生變性、增厚、增生,緩慢地朝角膜內生長,呈現出三角形,其形狀與昆蟲的翅膀十分相像,故常被稱為“小翅膀”。

隨著胬肉日益增大,嚴重時可能造成角膜弧度改變,而引起散光;或者胬肉大于3mm遮蓋瞳孔時,會對視力產生影響。所以說,眼睛里這個“小翅膀”不僅令我們的顏值受損,還可能帶著視力“飛走”,不得不引起重視。
翼狀胬肉的形成與紫外線有關,眼睛防曬要做好!
翼狀胬肉的形成與眼睛結膜長期受到外界刺激有關,而主要的“罪魁禍首”就是紫外線。眼睛經由紫外線照射后,角膜細胞會受到傷害,引起發炎反應。此外,細胞內的基因也可能因此受影響,而導致細胞不正常生長,形成翼狀胬肉。因此,農民、漁民等常在戶外工作的人士更易患上翼狀胬肉。

紫外線任何天氣都會存在,只不過紫外線的多少與臭氧層厚薄、太陽和地球的距離等因素有關。所以無論在什么樣的天氣外出,都應該為眼睛做好防護紫外線的措施。雖然紫外線肉眼不可見,但通過合格的太陽眼鏡可以過濾紫外線。
在選擇太陽眼鏡時,應選擇說明書上注明的能過濾99%至100%波長在310納米或以下的紫外線的產品;而鏡片顏色并非越深越好,灰色是不錯的選擇,棕色和綠色的鏡片也可,藍色、紫色的鏡片容易損害眼睛應避免;眼鏡設計方面,應選擇能覆蓋雙眼的,以更好地保護到眼睛;鏡片質量方面,應選擇打磨均勻的鏡片。
此外,建議大家應盡量避免在太陽最猛烈的時候外出。
翼狀胬肉進入活動期或大于3mm,需手術切除
如果不幸患上翼狀胬肉,也不必太擔心。一般來說,靜止期的翼狀胬肉如果沒有不適癥狀,可無需治療。若胬肉進入活動期或者大于3mm時,就需要考慮接受手術治療了,因為這個時候不僅會出現眼部不適癥狀,還有機會造成視力障礙。
手術治療翼狀胬肉需要將胬肉切除,但單純的切除胬肉扔保留了胬肉上面的部分健康組織,復發的可能性非常大。為了降低復發的機會,北京希瑪林順潮眼科醫院采用胬肉切除+抗代謝藥物或者胬肉切除+自身結膜移植術的方式治療翼狀胬肉。

胬肉切除+抗代謝藥物,除了切除胬肉,還會在病變區使用抗代謝藥物以減少術后組織增生的形成;胬肉切除+自身結膜移植術,切除胬肉病變后,取患者角鞏緣處健康的自身結膜作為植片覆蓋在已切除病變區域的鞏膜上,由于健康的近角鞏緣結膜內含有干細胞的結膜,可幫助組織修復并降低復發的機會。至于具體選擇哪一種手術方案,醫生會根據患者的實際情況考慮。

眼科全科
眼科全科,主攻眼底病的診斷治療
擅長疑難青光眼的診治
眼底病、黃斑疾病、玻璃體視網膜手術
眼底病的診治,尤其專長于糖尿病視網膜病變、黃斑疾病和視網膜移植
兒童視覺發育性眼病診治
屈光矯視、白內障、眼整形、老視個性化手術設計及矯正、眼底手術治療
眼科全科、眼底病、白內障、青光眼
屈光性白內障、青光眼、晶體植入
青光眼、白內障及眼底病
白內障、淚道、眼整形、青光眼的診斷及治療
弱視、斜視、屈光不正、近視、復視、眼球震顫的診斷和治療
屈光不正、白內障、眼底常見病